Smart Scene 3D
                                
                                Программа автоматических измерений в 3D/4D режиме в акушерстве.
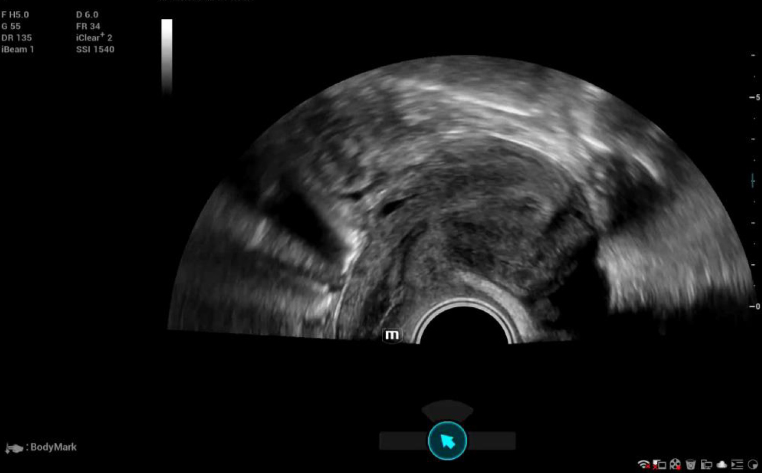
Полноценное интеллектуальное решение для диагностики матки, для легкой и быстрой оценки эндометрия
- Автоматическое распознавание матки
 - Автоматическая подстройка зоны интереса и положения до оптимального
 - Автоматический объемный рендеринг эндометрия
 

Место Smart Scene в технологии full-stack smartness

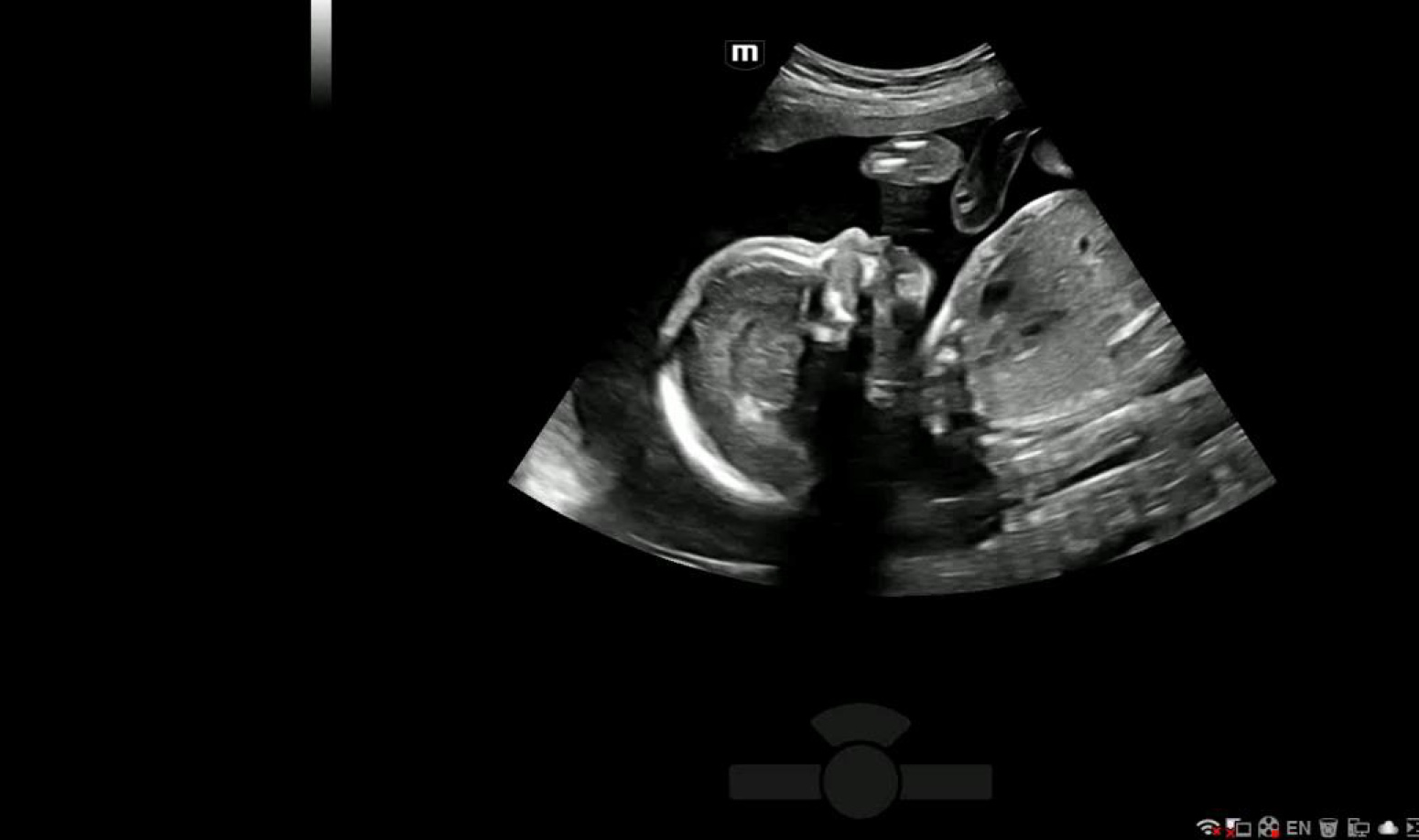
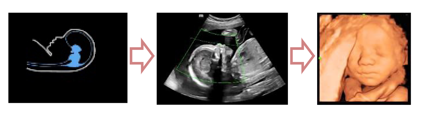
С легкостью получайте потрясающие объемные изображения лица плода.
- Автоматическое распознавание лица плода
 - Автоматическая подстройка зоны интереса и положения до оптимального
 - Автоматический определение параметров рендеринга лица плода
 

Место Smart Scene в технологии full-stack smartness

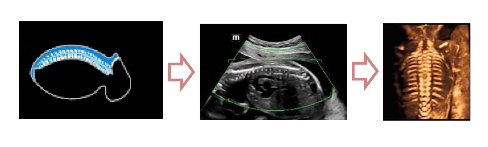
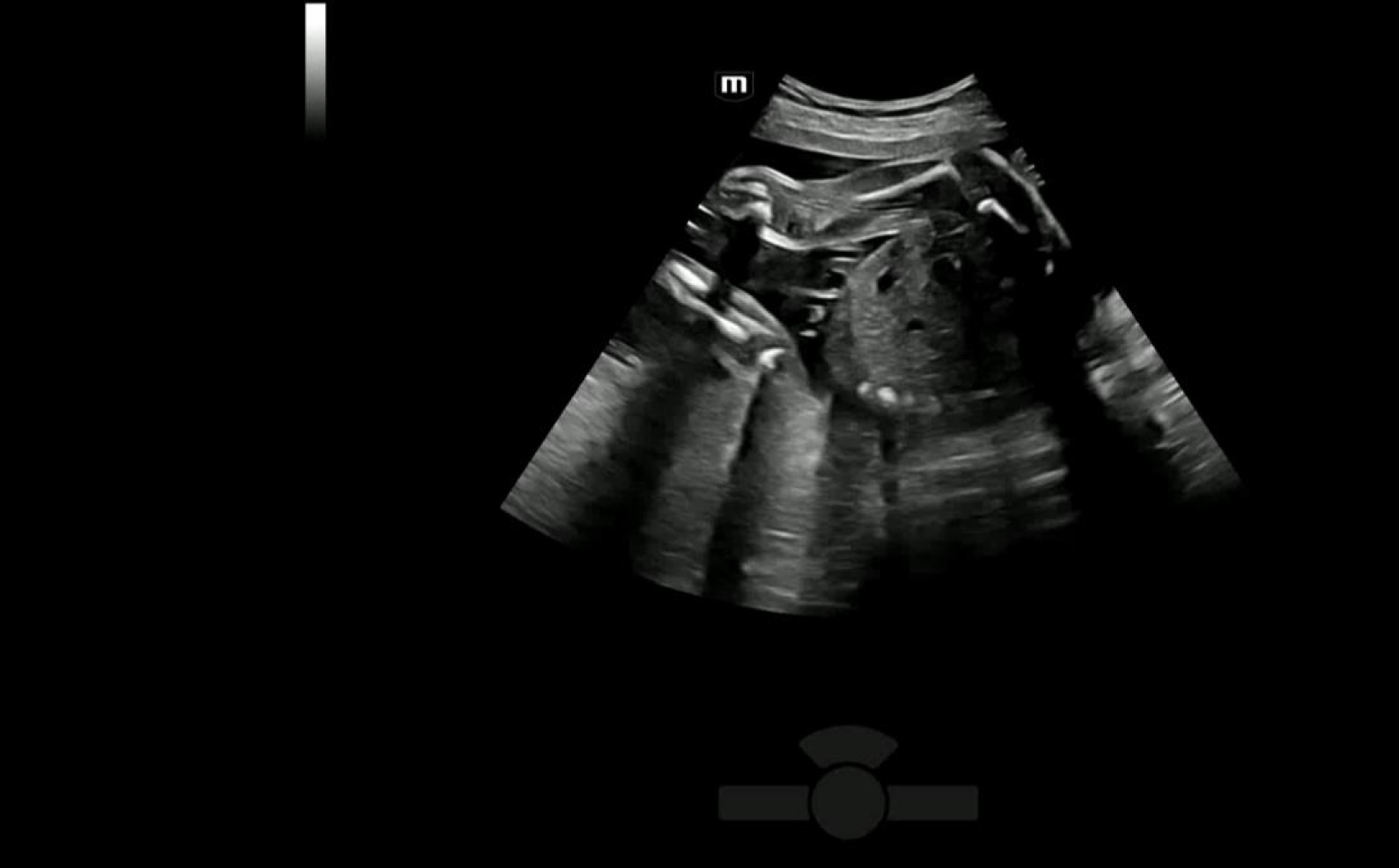
С легкостью получайте потрясающие 3D изображения позвоночника плода
- Автоматическое распознавание анатомии позвоночника плода
 - Автоматическая подстройка зоны интереса и положения до оптимального
 - Автоматический определение параметров рендеринга позвоночника
 

Место Smart Scene в технологии full-stack smartness

Легкое получение 3D изображения костей
- Автоматическое распознавание костей конечностей плода
 - Автоматическая подстройка зоны интереса и положения до оптимального
 - Автоматический рендеринг изображения
 

Место Smart Scene в технологии full-stack smartness
