Калькуляторы
Сравнение
Корзина

Клинический случай: Исследование пациента на образование тромбов

Дата публикации: 22.06.2021

В современной медицинской практике специалист стремится к снижению рисков развития осложнений, особенно при хирургическом лечении. Пациенту выдается обходной лист, в котором перечислены все необходимые обследования — лабораторные, инструментальные и аппаратные методы, а также консультации смежных специалистов, при необходимости. Как правило, такие люди направляются лечащим доктором на исследование вен нижних конечностей для исключения тромбоза, на эхокардиографию для оценки сократительной способности левого желудочка и каких либо выраженных изменений гемодинамики. Очень важно полностью выполнить алгоритм обследования, а не стараться и не спешить. Ни в коем случае не ограничиваться оценкой сократительной функции (именно такую задачу часто указывают в обходных листах). Особое внимание следует уделять онкологическим больным, так как риск образования тромбов у таких пациентов значительно выше.

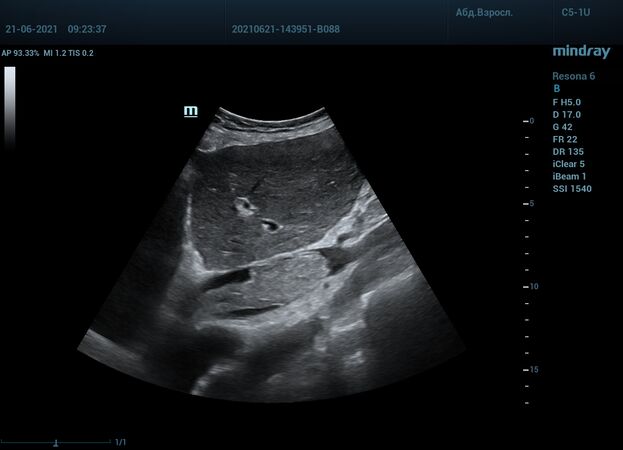
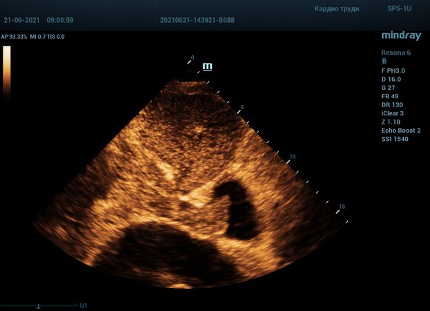
Интересный случай из практики нашего врача-аппликатора. Использовался экспертный ультразвуковой прибор Mindray Resona 6, стандартные заводские пресеты и автоматическая оптимизация iTouch. В эхокардиографии всегда помогает колорайзинг, чаще всего используется оранжевый оттенок. Пациент обследуется перед оперативным лечением по поводу онкологии почки. Вены нижних конечностей у данного пациента без особенностей, сжимаемы и проходимы. Казалось бы, проблема тромбоза миновала но в процессе эхокардиографического исследования, при сканировании нижней полой вены в субкостальном сечении, определяется эхогенное образование. Образование на месте просвета нижней полой вены. Вена расширена, эхогенное включение проникает в правое предсердие. По краю тромба в цветопотоковой визуализации определяется кровоток. Онкологическое заболевание почки осложнилось тромбозом почечной вены, с распространением тромба в нижнюю полую вену и правое предсердие. Изюминку добавляет то, что в других эхокардиографических сечениях тромб совершенно не виден.

Все статьи Следующая статья
Награды Mindray
Официальный дистрибьютор Mindray
MEDLIGA - официальный дистрибьютор Mindray №1 в России*

8 лет лидерства (2017-2024 г.)

* ежегодная аналитика компании Mindray

Сервисный центр Mindray
MEDLIGA - Золотой сервисный центр Mindray

Сервисный центр удостоен награды Mindray “Gold Service Channel” по итогам 2020, 2022, 2023 и 2024 гг.

Связанные товары