Калькуляторы
Сравнение
Корзина

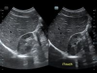
Обзор функции УЗИ: iTouch - автоматическая оптимизация изображения

Дата публикации: 29.08.2019

С чего начинается подготовка специалиста ультразвуковой диагностики Конечно, с изучения физики ультразвука и основ работы с прибором – оптимизации изображения. Без основных правил получения изображения даже на высококлассном современном приборе качественной сонограммы не получится. Давайте вспомним основы основ.
 
Ультразвуковая волна распространяется от пьезокристалла в направлении плоскости сканирования. Если волна отражается от поверхности исследуемой структуры под прямым углом и возвращается к пьезокристаллу напрямую, на сонограмме появляется четкая дифференцировка структуры и подчеркнутые контуры. Прямое отражение - самый важный критерий техники сканирования для измерения точных размеров органа. В случае отражения волны не под прямым углом эхогенность структуры меняется, дифференцировка на слои падает, контуры становятся нечеткими. Таким образом косой срез дает огромную погрешность измерения и затрудняет описание эхоструктуры объекта.
 
Как достичь прямого отражения Достаточно расположить объект на экране горизонтально, с помощью наклона датчика, чтобы волна отражалась от поверхности под прямым углом. При любом типе исследования любого органа или системы прямое отражение – залог достоверных результатов.
 
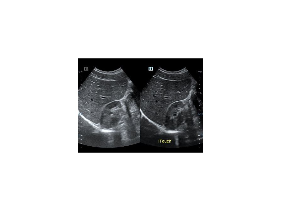
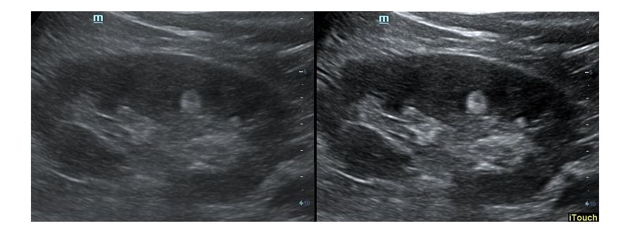
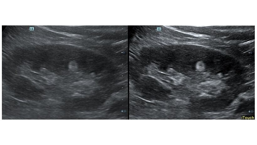
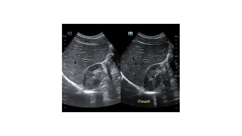
Оптимизация изображения происходит и за счет постобработки. Наиболее часто используемый инструмент - общее усиление (Gain). Усиление делает изображение «ярче», но чем сильнее усиление, тем меньше различия между структурами. Также используются усиление по времени (TGC) и усиление по длине (LGC), которые позволяют изменять отображение на экране послойно, позволяя подсветить гипоэхогенные участки, или, наоборот, снизить визуально эхогенность слишком ярких моментов. Данный вид оптимизации требует много времени, для упрощения работы доктора на приборах Mindray внедрена система автоматической оптимизации - iTouch.
Все статьи Следующая статья
Награды Mindray
Официальный дистрибьютор Mindray
MEDLIGA - официальный дистрибьютор Mindray №1 в России*

8 лет лидерства (2017-2024 г.)

* ежегодная аналитика компании Mindray

Сервисный центр Mindray
MEDLIGA - Золотой сервисный центр Mindray

Сервисный центр удостоен награды Mindray “Gold Service Channel” по итогам 2020, 2022, 2023 и 2024 гг.

Категории и бренды в статье