Калькуляторы
Сравнение
Корзина

Обзор функции УЗИ: Free Xros, анатомический М-режим

Дата публикации: 18.06.2019

В России с каждым годом появляется всё больше частных медицинских учреждений, растет конкуренция. Помимо качества и разнообразия медицинских услуг для решения вопроса конкуренции выходит на передний план вопрос комфорта пациента. Помимо развития call-центров для удобной записи и других элементов сервиса, современные технологии позволяют сократить время проведения ультразвуковых исследований. Для эхокардиографии возможно сократить время нахождения пациента на кушетке в неудобной позе не только за счет сохранения видео петель двумерного серошкального изображения, и произведения расчетов и измерений без участия пациента, но и за счет исключения записи снимков в М-режиме. Пациента можно отправить в коридор или зал ожидания выпить чашечку кофе или пройти другие обследования без потери лишнего времени, пока доктор займется расчетами по данным, сохраненным в приборе.

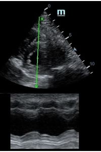
Но как же провести стандартные измерения в М-режиме, если мы его не использовали? На помощь приходит функция Free Xros M – анатомический М-режим. Имея записанную в память прибора видео петлю, мы можем провести линию М-режима в любом месте, при этом корректируя изначально не оптимальный угол.
 
Возможности применения функции многогранны: от измерения толщины стенок левого желудочка, движения створок митрального клапана и кооптации нижней полой вены до оценки сократимости миокарда как глобально, так и по сегментам.

Показатели УЗ сканирования в М-режиме

Какие показатели можно использовать при анатомическом М-режиме помимо привычных срезов через конец створок митрального клапана или синуса Вальсальве?
 
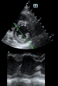
TAPSE - показатель амплитуды движения латеральной части кольца трикуспидального клапана, позволяет количественно и быстро оценить систолическую функцию правого желудочка, норма которого составляет более 17 мм. Главным условием является проведение линии М-режима параллельно стенке правого желудочка в апикальном четырех камерном сечении, что легко достигается при Free Xros.
 
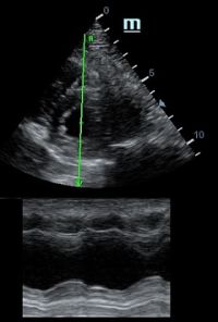
MAPSE - амплитуда движения латерального кольца митрального клапана, позволяет рассчитать фракцию выброса по формуле EF = 4.8 × MAPSE (mm) + 5.8, очень быстрый и гораздо более точный («прародитель Strain») метод чем широко распространенный метод Teicholtz. В современных приборах можно легко добавить свою формулу при отсутствии ее в стандартном калькуляторе. Главным условием является проведение линии М-режима параллельно стенке левого желудочка в апикальном четырехкамерном сечении, что легко достигается при использовании функции Free Xros.
 
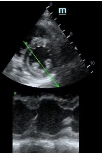
Оценка кооптации нижней полой вены ещё никогда не была такой простой и точной, никаких лишних деталей, просто устанавливаем клипер по анэхогенному участку.
 
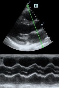
Оценка сокращения сегментов левого желудочка на глаз постепенно уходит в прошлое. Если в приборе нет функции радиального или лонгитудинального стрейна, на помощь опять может прийти Free Xros. Утолщение более 5 мм в систолу – нормальное сокращение, 2-5 мм гипокинез, истончение в систолу – дискинез.
Все статьи Следующая статья
Категории и бренды в статье