Калькуляторы
Сравнение
Корзина

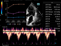
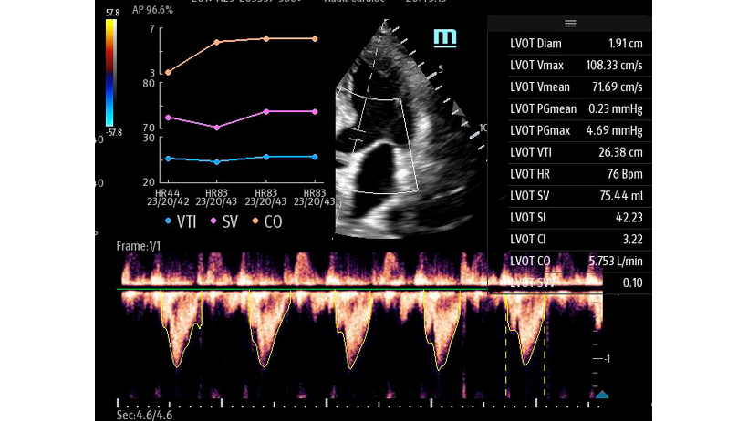
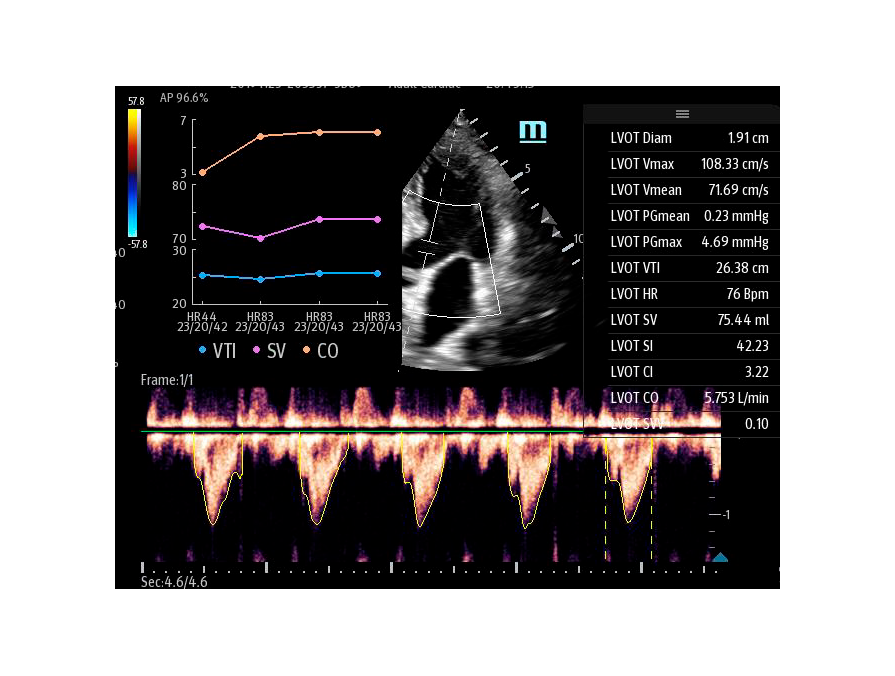
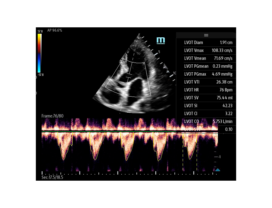
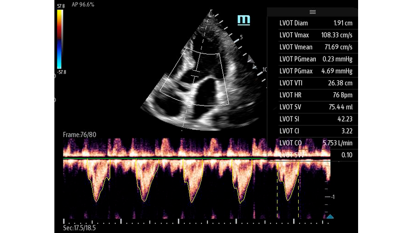
Автоматическая оценка потока выносящего тракта – Smart VTI

Дата публикации: 15.02.2023

Специалисты в исследовании сердца овладели работой с уравнением непрерывности потока в совершенстве. В педиатрии регулярно приходится рассчитывать Qp/Qs соотношение для оценки дефектов перегородок сердца, а у взрослых нужно производить расчёты площади аортального клапана.

Чтобы использовать уравнение, нужно получить поток выносящего тракта левого желудочка в PW допплере — это достаточно кропотливая работа. В ультразвуковых системах Mindray Resona i9 эта задача решается автоматической оценкой потока выносящего тракта – Smart VTI.

Доктору остается получить 5-ти камерное сечение сердца и нажать одну кнопку на сенсорном экране. Прибор сам выберет расположение контрольного объема, получит спектрограмму и обведет спектр с расчётом всех показателей. Быстро и эффективно.

 

Оставляйте заявку на ультразвуковой аппарат Mindray Resona I9.
Оставить заявку
 По всем вопросам обращайтесь к специалистам компании MEDLIGA, поможем с выбором необходимой медицинской техники под ваши задачи и бюджет.
Все статьи Следующая статья
Награды Mindray
Официальный дистрибьютор Mindray
MEDLIGA - официальный дистрибьютор Mindray №1 в России*

8 лет лидерства (2017-2024 г.)

* ежегодная аналитика компании Mindray

Сервисный центр Mindray
MEDLIGA - Золотой сервисный центр Mindray

Сервисный центр удостоен награды Mindray “Gold Service Channel” по итогам 2020, 2022, 2023 и 2024 гг.

Связанные товары