Калькуляторы
Сравнение
Корзина

Обзор функции УЗИ: AUTO-IMT - автоматический расчет интима-медиа

Дата публикации: 12.12.2019

 

При исследовании экстракраниальных артерий одной из важных задач является определение среднего значения толщины комплекса интима-медиа или Intima-MediaThickness (IMT) с целью расчета вероятности развития сердечно-сосудистых катастроф, оценки рисков. Перед врачом ультразвуковой и функциональной диагностики стоит серьезная задача -  определение прогноза и коррекция тактики ведения пациента.
 
Также данный параметр используется для диагностики гипертензивной и атеросклеротической ангиопатии. Методика включает в себя измерение IMT проксимального, среднего и дистального отдела общей сонной артерии, каротидной луковицы, проксимального и среднего отдела внутренней сонной артерии. Далее вычисляем среднее значение и сравниванием с критериями Intima-mediathickness: Appropriate evaluation and proper measurement (ESC 2015, EAUD 2019) по центильной системе с привязкой к полу и возрасту.
 
Ранее измерение IMT производилось вручную по Lead-to-Lead методу: от переднего края до переднего края. Все измерения происходят в диастолу. Для более точного измерения рекомендовано использовать ЭКГ канал. Методика принята на Уральском каротидном консенсусе в 2018 году. Однако комплекс интима-медиа не идеально ровный, поэтому от места измерения происходит погрешность. Как решается эта проблема?

Функция в ультразвуковых аппаратах

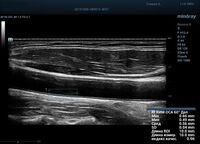
На сегодняшний день измерение IMT происходит автоматическим путем при использовании функции AUTO-IMT. Необходимо указать прибору зону интереса, стандартной длиной (1 см), в которой происходит отслеживание кромок и выдача максимального, среднего и минимального значения. УЗИ аппараты компании Mindray среднего, экспертного и премиального класса снабжены данной функцией и позволяют контролировать не только полученные значения, но и оценить точность измерения кромки в конкретной зоне по индексу качества. Используя индекс качества, легко решить, можно ли использовать полученное значение.
 
Форма отчета стала удобной: в единой таблице сводятся измерения левых и правых артерий, указываются все значения с автоматическим расчетом общего среднего показателя. Если один из показателей измерения резко выбивается и считается недостоверным – его можно исключить из расчета.
 
Для более искушенных в результате исследования существует качественно новый уровень измерения комплекса интима-медиа. Система RIMT использует нативные акустические данные (RF-Data) и проводит несколько измерений в режиме реального времени, получая измерения IMT с точностью до 5 мкм. Измерения проводятся в течении шести сердечных циклов, таким образом резко снижается вероятность погрешности.
Все статьи Следующая статья
Награды Mindray
Официальный дистрибьютор Mindray
MEDLIGA - официальный дистрибьютор Mindray №1 в России*

8 лет лидерства (2017-2024 г.)

* ежегодная аналитика компании Mindray

Сервисный центр Mindray
MEDLIGA - Золотой сервисный центр Mindray

Сервисный центр удостоен награды Mindray “Gold Service Channel” по итогам 2020, 2022, 2023 и 2024 гг.

Связанные товары